Address:-Pushpanjali Hospital & Research Centre,1st floor,Delhi Gate Rd Civil Lines, Agra, Uttar Pradesh 282002

Whatsapp

+91-9827634621

Call us

+91-9827634621

Mail Us

example@gmail.com

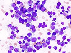
ultiple myeloma

Illustration of the multiple 0myeloma

Multiple myeloma

Multiple myeloma is a cancer that forms in a type of white blood cell called a plasma cell. Healthy plasma cells help fight infections by making proteins called antibodies. Antibodies find and attack germs.In multiple myeloma, cancerous plasma cells build up in bone marrow. The bone marrow is the soft matter inside bones where blood cells are made. In the bone marrow, the cancer cells crowd out healthy blood cells. Rather than make helpful antibodies, the cancer cells make proteins that don't work right. This leads to complications of multiple myeloma.Multiple myeloma treatment isn't always needed right away. If the multiple myeloma is slow growing and isn't causing symptoms, close watching might be the first step. For people with multiple myeloma who need treatment, there are a number of ways to help control the disease.

Risk Factors

Factors that may increase the risk of multiple myeloma include

  • GHaving a family history of multiple myeloma SHaving a sibling or parent with multiple myeloma increases the risk of the disease.
  • PHaving monoclonal gammopathy of undetermined significance, also called MGUS. Multiple myeloma starts as MGUS, so having this condition increases the risk..
  • Symptoms

    Early in multiple myeloma, there might be no symptoms. When signs and symptoms happen, they can include:

      Bone pain, especially in the spine, chest or hips.
    • Nausea.
    • Constipation.
    • Mental fogginess or confusion.
    • Tiredness.
    • EInfections.
    • Needing to urinate often.
    • CThirst.

```